Blepharoplasty

Cosmetic Eyelid Surgery | Eyelid Lift | Eye Bag Removal Surgery | Eye Bag Reduction Surgery

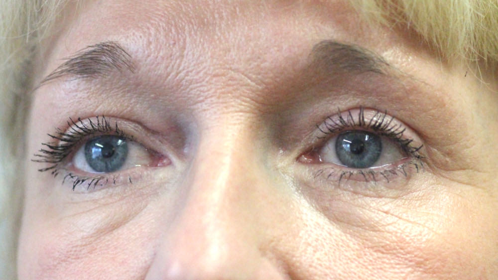
Before Surgery Before Upper & Lower Blepharoplasty
After Surgery After Upper & Lower Blepharoplasty

Before and After Upper and Lower Lid Blepharoplasty

  • Blepharoplasty (pronounced BLE- FA- RO- PLA- STEE ) surgery, commonly known by various synonyms such as eyelid lift surgery, eye plastic surgery, cosmetic eye surgery literally means ‘refashioning of the eyelid’ and is an operation commonly performed to improve the appearance of the skin around the eye.
  • Although a small proportion of patients undergo blepharoplasty surgery for functional improvement or rehabilitative purposes, the majority of patients have this surgery to improve their appearance.
  • Most patients have cosmetic eyelid surgery to reverse the signs of ageing i.e. to help them look fresher and less tired. However many young patients have cosmetic eyelid surgery too.
  • Show More
  • Image

    Young patients are increasingly seeking cosmetic surgery nowadays. This lady in her 20s complained that she her lower lid bags made her look tired.

  • Image

    Transconjunctival lower lid blepharoplasty allows reduction of the bulging fat pockets through a small incision in the back of the eyelid - hence this is sometimes called scarless blepharoplasty surgery. This photo taken only 1 week following surgery shows how minimal the bruising can be.


Why Have Blepharoplasty Surgery?

There are two main reasons why patients undergo blepharoplasty surgery:
Functional reasons:
  • In some patients the hooding of their eyelids is so severe that it compromises their superior field of vision.
  • Similarly patients sometimes undergo lower eyelid blepharoplasty surgery to try to reverse the changes caused by a disease process e.g. thyroid eye disease i.e. for rehabilitative purposes.
  • In such functional/ rehabilitative cases, blepharoplasty surgery may be funded by the NHS or patient's private medical insurance.


  • before upper blepharoplasty 2

    This patient complained of difficulty seeing due to his hooded and droopy eyelids.

  • before upper blepharoplasty ptosis surgery 2

    Notice the low eyelid position (eyelid ptosis) even after the excess hooded skin (dermatochalasis) has been lifted out of the way. This patient needs both excess skin removal (blepharoplasty/ eyelid lift) and strengthening of the main tendon involved in lifting the eyelid itself (levator aponeurosis advancement)

  • after ptosis blepharoplasty 2

    3 weeks following combined blepharoplasty surgery (excess skin excision) and ptosis correction (strengthening the eyelid tendon). This patient had both procedures performed on the NHS.

  • before upper blepharoplasty 2

    This lady developed marked bilateral lower lid bulging brought on by thyroid eye disease. The NHS are happy to fund this cosmetic surgery for rehabilitative purposes.

  • before upper bleppharoplasty ptosis surgery 2

    1 week following lower lid blepharoplasty surgery. Surgical steps included skin incision just under the eyelashes, reducing and repositioning the fatty bulges, lower lid tightening (lateral canthal tendon tightening / lateral canthopexy), muscle tightening and skin tightening.

  • after ptosis blepharoplasty 2

    2 months following surgery: the patient was very very happy.

Cosmetic reasons:
  • The appearance of one's eyes are central to facial expression. How one's eyes look therefore are important in how that person is perceived which then is reflected in their own self confidence.
  • Cosmetic eyelid surgery to improve one's appearance is one of the oldest and most common operations performed worldwide. As with a good cosmetic surgery, cosmetic blepharoplasty can lead to improvements not only in a patient's appearance but also their own self confidence.
  • Although for most patients this will be to reverse the signs of ageing but for many it may be to alter the appearance of one's eyelids for some sort of characteristic that runs in the family.
  • The proportion of men undergoing blepharoplasty surgery is increasing year on year.
  • Image

    Prior to upper eyelid blepharoplasty (eyelid lift surgery). This lady complained of problems with eyelid make up. She was also fed up of being told she looked stern.

  • Image

    2 months following upper eyelid blepharoplasty One can see why blepharoplasty surgery is sometimes referred to as eyelid reduction surgery.

  • before upper lower blepharoplasty picture 4

    Before Surgery: This lady complained of both overhanging upper eyelid skin (i.e. very heavy eyelids), lower eyelid bags (baggy eyelids) with wrinkling of her eyelids

  • after upper and lower blepharoplasty picture

    6 weeks following cosmetic eyelid surgery to all 4 eyelids: This lady was delighted with the improvement.

  • Image

    This lady complained of lower eyelid bags. These were due to age related weakening of the middle layer of the eyelid (orbital septum) allowing the orbital fat behind it to bulge forwards. Her skin and muscle quality were good meaning that the if we could shrink the fat bulging and strengthen the orbital septum, she would likely be happy with the cosmetic result.

  • Image

    Four weeks following lower eyelid transconjunctival blepharoplasty. A small amount of fat was removed from both lower lids through an incision in the back of the eyelid. This delicate minimally invasive surgical approach means that the recovery is usually very quick avoiding the need for an incision and potential scar of the skin. Notice the eye bags have now disappeared.

Frequently Asked Questions


It is often advisable to have someone accompany you on the day of surgery, particularly if the surgery is performed as a day case procedure. Rarely, the eyes may be covered with pressure dressings for an hour, to help reduce the build up of any postoperative swelling. As the anaesthetic wears off, your eyelids may feel tight and sore, but this wears off quickly and is usually easily treated with simple painkillers. If the postoperative pain is severe, this may indicate a serious problem and patients should get in touch with their surgeon immediately.
You will be advised to sleep upright and apply regular cold compresses to the eyelids to reduce the postoperative swelling. It is especially important to keep your wounds clean and dry. Eye drops are commonly provided to help soothe the eyes which can feel slightly dry due to temporary impairment of the normal blink reflex following surgery.

-Swelling and minor bruising is normal and peaks about 24-48 hours after the procedure.
-However 90% of the swelling usually disappears by 10 days but minor swelling may still persist for 10-12 weeks depending on the complexity of the procedure. For example, most of Mr Cheung's patients who return to work after 10-14 days often comment that their work colleagues remark that they look fresher but often do not realise that any surgery has been performed.
-Most patients return back to work about 10-14 days after blepharoplasty surgery.
- The first clinic visit following surgery is usually scheduled for 1 - 2 weeks following surgery. Mr Cheung often personally removes any skin sutures with the aid of an examination microscope to ensure there is no retention of the fine skin stitches.
-Make up can be safely used usually from the 10th postoperative day.
- Most patients are usually discharged at 3-6 months following surgery.
Most cosmetic eyelid surgery can performed quite safely as a day-case procedure so that most patients go home the same day. It is advisable that someone you know can take you home and stay with you at least overnight just to be on the safe side. For some patients attending from outside the Midlands, particularly those undergoing complex surgery, Mr Cheung may advise staying overnight in the hospital or in a nearby hotel.
All surgical procedures carry risks. The most common temporary effects of eyelid surgery are bruising, swelling, dryness, and mild discomfort.

Uncommon complications may include infection, delayed wound healing, scarring, asymmetry, dry eye symptoms, corneal irritation or abrasion (damage to the surface of the eye), and the need for further procedures.

Rare but serious complications include bleeding behind the eye (retrobulbar haemorrhage) which can threaten vision if not treated promptly; and acute glaucoma, which is a rare but potentially serious pressure rise within the eye.

Permanent dry eye symptoms may occur, particularly if excessive eyelid skin is removed or natural tear production is reduced.

Every effort is made to minimise risks through careful patient selection, meticulous surgical technique, and appropriate postoperative care.

Complications are extremely rare and the vast majority of patients are extremely satisfied following surgery. The complications of blepharoplasty surgery include:
  • default_titleEyelid Asymmetry: where one side does not match the other
  • default_titleUndercorrection where insufficient skin/ orbital fat has been removed. It is important to be realistic about how much skin can safely be removed.
  • default_titleOvercorrection-If too much skin is removed during upper eyelid blepharoplasty, the eyelid may not be able to close properly (termed lagophthalmos), which can be sight threatening. Lagophthalmos can be temporary from eyelid swelling, or permanent if too much skin from the upper eyelid was removed. The cornea (clear window on the front of the eye) may start to dry out due to the incomplete closure of the eyelid. This may be sight threatening since the cornea may ulcerate as a result. For severe cases of lagophthalmos, a skin graft or flap to replace the upper eyelid skin shortage may be necessary to allow the eyelid to function normally again.
  • default_titleTemporary dry eye commonly occurs following upper eyelid blepharoplasty surgery and is commonly due to temporary impairment of the muscles involved in eyelid closure. Ocular lubricant drops are commonly prescribed for a few weeks following surgery for symptomatic relief. Less commonly though, permanent dry eye may result particularly following excessive skin removal (both in upper and lower eyelid blepharoplasty) and in patients who have pre-existing problems with dry eye, tear film problems, previous refractive surgery and ocular surface problems. It is for this reason that the Dept of Health recommends that all patients undergoing any type of blepharoplasty surgery undergo a formal assessment by an ophthalmologist including testing ocular motility, tear film production and quality assessment.
  • default_titleIf too much lower eyelid skin is removed, the eyelid may look hollowed out, too concave or may cause the eyelid to turn outwards leading to ectropion formation. All oculoplastic surgeons are trained to avoid this by performing additional procedures if necessary e.g. eyelid tendon tightening such as lateral canthopexy.
  • default_titleScarring can also occur post-operatively, leading to a poor cosmetic outcome. Scarring following lower eyelid blepharoplasty can result in the lower eyelid being pulled out and downwards, leading to an unnatural appearance and ectropion. Corrective surgery may be necessary to address this. It can usually be avoided by meticulous dissection in the correct surgical planes and is rare in the hands of oculoplastic surgeons.
  • default_titleAcute glaucoma is a rare but potentially blinding complication that can occur with any type of eyelid surgery and occurs when the internal pressure of the eye starts to rise as a result of some of the side effects of some of the drugs and injections utilised during eyelid surgery. Oculoplastic surgeons are trained to recognise and manage this complication through their general ophthalmology training. It is recommended in the US, that a formal ophthalmological assessment be performed prior to eyelid surgery to look for the potential risk factors for this complication.
  • default_titleBleeding into the skin, known as a skin haematoma, after the procedure is an uncommon complication and excessive bruising leading to a collection of blood within the tissue. It is critical to stop all tablets which may increase the risk of bleeding and your surgeon should advise you about this prior to surgery. In the first few days following surgery, you should avoid any vigorous activity such as lifting, bending, since this can worsen any bruising or swelling of the eyelids.
  • default_titleCorneal abrasion is when the corneal surface is damaged, for example by inadvertent surgical trauma. This complication is extremely rare in the hands of oculoplastic surgeons.
  • default_titleEyelid ptosis- Uncommonly the main tendon (levator aponeurosis) within the eyelid may be damaged during cosmetic eyelid surgery causing the actual eyelid itself to descend and stay permanently low. This complication is extremely rare for oculoplastic surgeons since they routinely operate on this structure anyway and the most experienced in recognising the complex anatomy. Indeed, oculoplastic surgeons routinely perform ptosis surgery anyway and may recommend simultaneous ptosis correction/ repair in patients who already have a compromised eyelid tendon.
  • default_titleSunken eye (enophthalmos) and hollow eyelids- The fat within the socket (orbital fat) normally starts to shrink with age leading the the eyeball looking sunken over time. However, an artificially sunken eye can occur following excessive orbital fat removal. Similarly if excessive fat is removed the eyelids can look artificially hollow (sometimes known as skeletonisation). This complication occurs less commonly now surgeons have learnt to avoid it by being very conservative with orbital fat removal and performing safer techniques e.g. orbital fat repositioning.
  • default_titleThe most serious, though thankfully rare, complication of blepharoplasty is an orbital haematoma. This occurs when there’s uncontrolled bleeding, usually from a blood vessel in the fat pockets around the eye, which puts pressure on the optic nerve and its blood supply. If left untreated, this can lead to permanent blindness. That’s why it’s crucial to catch it early, especially if you experience severe eye pain or changes in your vision. In such cases, urgent reoperation may be needed to stop the bleeding and relieve pressure on the optic nerve.
    To minimise the risk of this happening, it’s important that eyelid surgery is performed by a skilled surgeon with experience in working with the delicate tissues around the eye. Oculoplastic surgeons, who specialise in surgeries involving the eyes and eyelids, perform more of these procedures than any other type of surgeon and are best trained to both avoid and manage this rare but serious complication.
  • Show More


It is for all these reasons that Mr Cheung tends to err on the side of caution i.e. towards conservative blepharoplasty surgery to reduce the risk of complications and also give a more harmonious balanced appearance, to try and avoid a 'plastic' unnatural look. Most complications can be avoid with careful preoperative examination, surgical planning and meticulous operative technique.
Yes. About 50% of Mr Cheung's cosmetic patients are from outside the West Midlands region and undergo this surgery quite safely as a day case procedure. Most travel between home and hospital for their consultations and surgery to reduce accommodation costs.
Yes (and No).

Yes you can have blepharoplasty surgery for functional reasons on the NHS i.e. if your eyelid hooding is so severe that it interferes with your visual field or if is for rehabilitation purposes from some pathological process e.g. for thyroid eye disease.

However the NHS is unlikely to fund blepharoplasty surgery purely for cosmetic purposes for the sake of rejuvenation purposes e.g. severe thyroid eye disease, amyloidosis.


For quite some time now, most CCGs (clinical commissioning groups) have brought out their eligibility criteria which patients would have to meet prior their surgery being agreed to be funded by their local NHS.


Dudley Procedures of Limited Clinical Value/ Aesthetic Policy Document 2019

Sandwell and West Birmingham/ Birmingham and Solihull CCG Policy for Cosmetic Surgery - Eyelid Surgery 2019










Cosmetic Eyelid Surgery Gallery

Before and After Pictures of Cosmetic Eyelid Surgery | Eye bag Reduction Surgery | Eyelid Lift Surgery by Mr David Cheung, Eyelid Specialist Surgery, Birmingham UK


  • Image

    This lady was always troubled by lower lid bags since her 20s. Note the bulging fat baggy bulges which are due to weakness of the middle layers of the eyelid allowing forward prolapse of the orbital fat pad. Note also the tear trough groove deformity.

  • 1 week after eyebag reduction surgery

    1 week following lower lid blepharoplasty: This consisted of fat pad debulking and draping, orbicularis muscle tightening, lateral canthal tendon ligament tightening, skin sliver removal.

  • 1 week following eyebag reduction surgery

    Note the minimal swelling on the ocular surface. The incision is barely visible below the eyelashes.

  • 3 months picture following eyebag reduction

    3 months following surgery: Conventional anterior lower lid blepharoplasty: The fat pads have disappeared, the wrinkling has reduced, the tear trough deformity has gone.

  • 3 months after eyebag reduction

    The incision has become imperceptible.

  • Image

    Combined Upper and lower lid complex multiplanar blepharoplasty: This lady in her late 50's complained of looking tired. Unfortunately she had very thin skin with weakening of the middle layers of her eyelids.

  • Image

    You can see that the upper lid skin crease on HER RIGHT upper eyelid has disinserted, leading to slippage of the skin downwards. You can also see marked bulging (herniation) of the orbital fat. She has a deep tear trough deformity. The deeper muscle layers of the lower lid are also quite loose. Bespoke surgery needs to address all of these anatomical problems.

  • Image

    You can see that the upper lid skin crease on HER RIGHT upper eyelid has disinserted, leading to slippage of the skin downwards. You can also see marked bulging (herniation) of the orbital fat. She has a deep tear trough deformity. The deeper muscle layers of the lower lid are also quite loose. Bespoke surgery needs to address all of these anatomical problems.

  • Image

    1 week following surgery. Upper and Lower lid blepharoplasty. As with this sort of multiple plane surgery the swelling can be very marked. This sort of intense swelling is typically maximal after 48-72 hours with gradual improvement then onwards. Most patients are back to work though at 10-14 days post surgery.

  • Image

    Surgery involved addressing all anatomical problems including bilateral upper eyelid anchor blepharoplasty to reform the skin crease, bilateral lower lid anterior blepharoplasty with orbital fat debulking and redraping, tear trough deformity lysis, orbicularis muscle tightening, minimal skin excision and then lateral canthopexy.

  • Image

    8 weeks following surgery. This lady was very very happy. All her scars have disappeared

  • Image

    8 weeks following surgery. This lady was very very happy.

  • Image

    BEFORE upper and lower blepharoplasty surgery again

  • Image

    AFTER upper and lower blepharoplasty surgery again.

  • Image

    This lady complained that her lower lid eyebags made her look tired. These had been present even since she was young and ran in her family. She also wanted better symmetry of upper eyelids as she felt her left upper lid looked hooded. Note the lower lid orbital fat bulging due to weakness of the orbital septum.

  • Image

    1 week following left upper eyelid blepharoplasty ( an exact amount of skin was removed to match the right upper lid) and bilateral lower lid transconjunctival blepharoplasty ( fat was removed from both lower lid via an incision through the back of the eyelid). The recovery time for this surgery is very quick.

  • Image

    After Upper Eyelid and Lower Lid transconjunctival blepharoplasty: This patient remarked how amazed her friends and family were following surgery.

  • before upper lid lift

    This lady complained of upper lid hooding on both sides but with the right worse than the left. Note the asymmetrical upper lid hooding. Her right eyebrow is lower than her left.

  • before upper lid lift

    This lady complained of upper lid hooding on both sides but with the right worse than the left. Note the asymmetrical upper lid hooding. Her right eyebrow is lower than her left.

  • after upper lid lift

    1 week following surgery: Bilateral Upper blepharoplasty with endotine brow lifting

  • after upper lid lift endotine transblepharoplasty brow lifting

    All incisons are hidden with the normal skin creases.

  • 3 months after upper lid lift endotine lift

    Perfect symmetry at 6 weeks following surgery

  • Image

    The incisions slowly continue to disappear completely.

  • Image

    Men commonly present later than women. Often the changes seen are a bit more marked therefore. This gentleman presented in his 60s complaining that his upper eyelids looked droopy and his lower lids looked baggy.

  • Image

    This gentleman has marked upper eyelid ptosis and bilateral lower lid skin redundancy in addition to lower lid bags

  • Image

    1 week following ptosis correction to both upper eyelids and lower lid blepharoplasty surgery. His eyelids will remain swollen for a couple of weeks at least.

  • Image

    He has very fine incisions which are hidden in the upper lid skin creases and just below the lower eyelid lash lines

  • Image

    3 months after surgery. Once all the swelling has slowly settled down, one can see the improvement. His upper eyelids are now more open and back to normal height. The lower lid wrinkling has improved. He still looks like natural but more refreshed.

  • Image

    All the incisional scars will continue to slowly fade away but already are almost invisible at 3 months.

  • Image

    Men commonly present later than women. Often the changes seen are a bit more marked therefore. This 65 year old gentleman presented quite late with quite marked hooding causing superior visual field compromise.

  • Image

    He also had quite marked drooping of the tails of his eyebrows and complained of bagginess of both lower lids. He stressed that he wanted a natural looking result.

  • Image

    1 week following blepharoplasty surgery to all four eyelids combined with ptosis correction. As expected with such extensive surgery, the healing reaction can be quite marked and prolonged.

  • Image

    The incisions are hidden in the upper lid skin creases and just below the lower lid lash lines. Although his eyebrows were drooping, he opted not to have a brow lift operation too.

  • Image

    3 months following surgery, the swelling reaction has settled down. The scars have faded to become almost invisible already to give a natural looking fresher result which is still harmonious with his age.

  • Image


    His eyelids function normally and there is almost no evidence of the operation having taken place.

  • Image

    Young patients are increasingly seeking cosmetic surgery nowadays. This lady in her 20s always wanted more exposure of her upper eyelids as she felt her lids looked bulky and she desired a taller platform for wearing eyeshadow. One can see that her lid fold is so low that it rests on her eyelashes.

  • Image

    3 months following upper eyelid anchor blepharoplasty: This is a very specialised operation which involves reshaping the upper eyelid internal structures, repositioning fat and changing various attachments without skin removal. The result is a natural looking, less bulky more open, looking eyelid.

  • Image


    38 year old lady complaining of hooded upper eyelids and difficulty wearing eyeshadow

  • Image


    This lady does NOT have excessive upper lid skin causing her upper lid hooding

  • Image


    Instead she has a bulging low inserting orbital septum

  • Image


    1 week following upper eyelid anchor blepharoplasty

  • Image


    This is a complex type of upper eyelid blepharoplasty which involves raising the skin crease and changing the position of the upper lid orbital fat thus allowing greater exposure of the pretarsal platform

  • Image


    The sutures need to be carefully placed to aim for symmetry

  • Image


    3 months following surgery: This lady was very happy with the result as now she was able to wear eyeshadow and mascara without blotching.

  • Image

    Her eyelid wounds healed perfectly with invisible scarring

  • Image

    Before surgery again: Note the eyelashes and eyelid platform is hidden

  • Image

    After surgery again: Now her eyelashes are visible and she has natural looking platform allowing mascara wear


Image
What a difference a week makes. When surgery is required and nerves can get the better of you, humour and humility to communicate, advise and reassure are of the utmost importance. Mr Cheung was all of these and more. My eye surgery was performed with care and attention and in just over a week, bruises all disapeared and eyelids now expose the blue eyes I haven't been able to see, for a long time. Thank Mr Cheung and staff, for making me look 20 years younger.
Trustpilot Review, May 2025


Image
⭐⭐⭐⭐⭐ Life-Changing Experience – Thank You David Cheung! ....From the moment I met David Cheung, I felt in safe hands. He was incredibly professional, knowledgeable, and took the time to explain everything clearly, making me feel completely at ease. The entire process felt surprisingly straightforward – honestly, I now liken it to getting a good haircut when it comes to self-grooming. It’s just part of taking care of yourself and feeling your best.... I feel fresher, more confident, and like myself again – just a better-rested version! ..... I can’t recommend David Cheung highly enough. This has been one of the best self-care decisions I’ve ever made.
Google Reviews August 2025


Image
Best Thing I've Ever Done - bilateral lower eyelid blepharoplasty I will never ever be able to thank David enough for what he has done for me. Four weeks post operation bilateral lower eyelid blepharoplasty, and it has exceeded my expectations and given me my sparkle back. Friends and family say that it has taken years off me and I am no longer upset when I see myself in the mirror. I would also like to thank the anaesthetist, nurses and staff at the Westbourne Centre for taking such great care of me on the day. It truly was a pleasant experience and not what I had imagined in my own mind. I healed extremely quickly, had no pain and bruising was virtually undetectable within a fortnight. From the initial consultation with David, he made me feel at ease. He took the time to explain everything thoroughly so that I understood exactly what was going to happen on the day of surgery and post surgery. I was a very anxious patient and had plenty of questions for David which he always answered promptly by email. If anyone is looking to get this done, I would say go to David and just get on and do it. I wish I'd had it done years ago.
RealSelf Reviews November 2022


Image
Amazing! I had lower blepharoplasty with Mr David Cheung in November 2025 and the results are Amazing three months on, there's no visible scarring and the improvement has been life-changing. David is a caring, professional, and reassuring throughout, I put my trust in him completely and his team made the whole process effortless. Highly recommended.
TrustpilotReviews November 2025