Double Eyelid Surgery / Asian Blepharoplasty

  • Stacks Image 33237
  • Stacks Image 33240

The Oriental Eyelid Crease
The eyelid crease is an important landmark: Its presence, height and contour can dramatically alter the way an eyelid appears. It is thought that worldwide, half of all people of Oriental descent have a crease of some description, whereas the other half do not.

Because a crease changes the appearance of any eyelid, giving the impression of dividing the eyelid i.e. above and below the crease, some have termed eyelids with creases as 'double eyelids' and those without creases as 'single eyelids'.  In reality a lot of patients attending Mr Cheung's clinics for double eyelid surgery do have a skin crease already but are seeking more definition and more exposure of the 'pretarsal lid platform.'

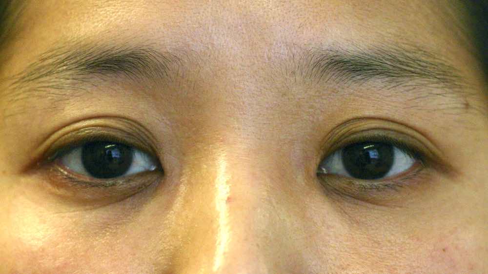
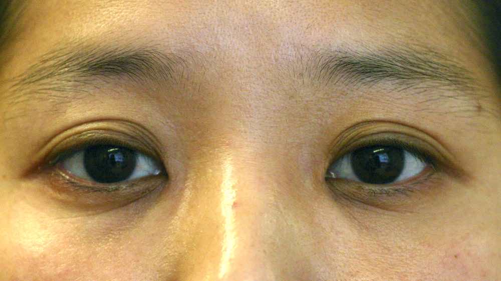
Oriental eyelid nasally tapered crease
  • Stacks Image 33254

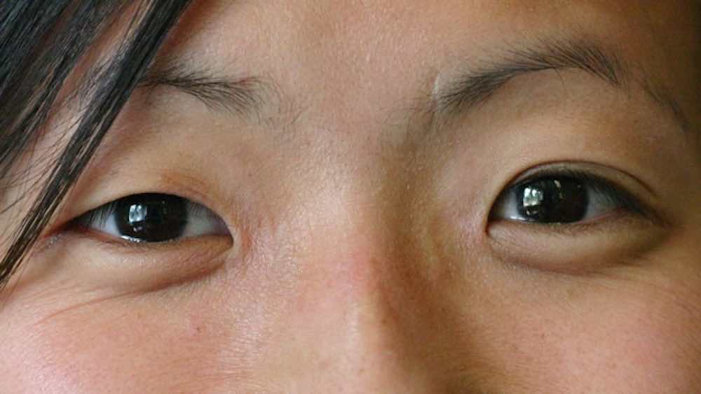
    An Oriental eyelid without a skin crease-a so called 'single eyelid'. Note the eyelashes are slightly hidden and are orientated downwards by the upper eyelid fold. Patients often complain of difficulty wearing eye make-up.

  • Stacks Image 33259

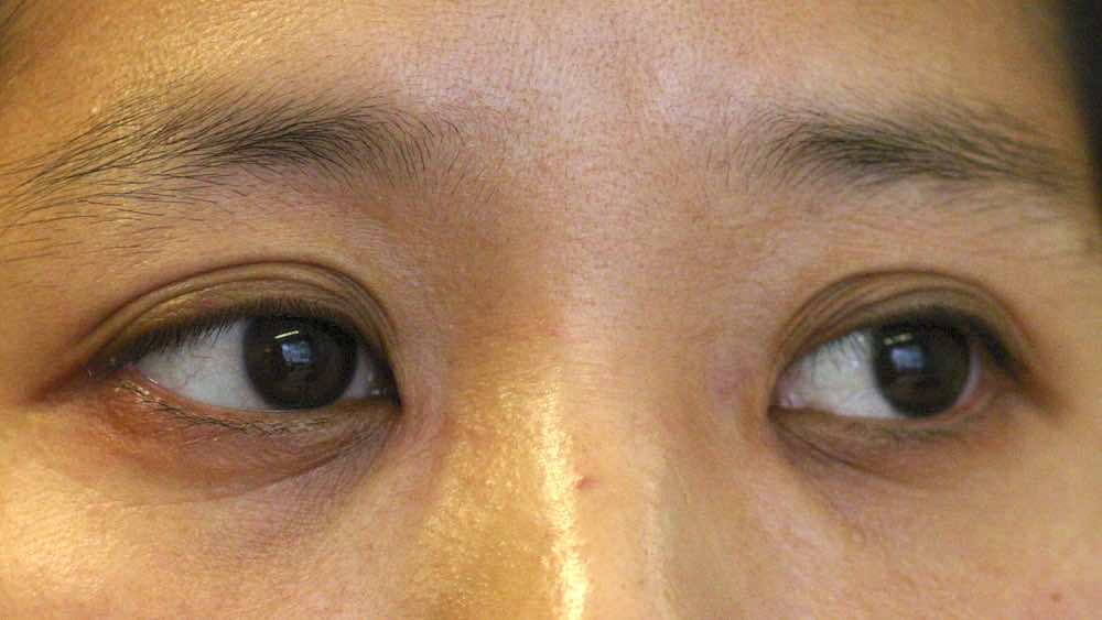
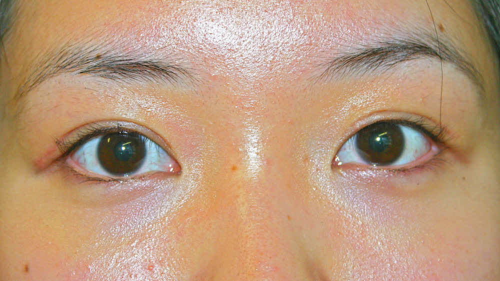
    This model of Chinese descent has a parallel eyelid crease. Due to the presence of the eyelid crease, the eyelid is seen to have two parts to it, the part above and the part below the skin crease. Hence the term, 'double eyelid'. Oriental cosmetic eyelid surgery most commonly involves creating or enhancing skin creases which are cosmetically pleasing but also consistent with what is normal both culturally and ethnically.

  • Stacks Image 33264

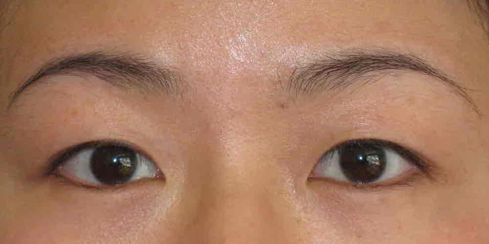
    This girl of Chinese descent has a tapered eyelid crease. Note how the eyelid crease merges in with the inner corner of the eye giving a characteristic almond shaped eye.

The cultural significance of an eyelid crease in Oriental society
For many Oriental societies, the presence of an Oriental eyelid crease is seen to be cosmetically desirable and indeed this is reflected in modern day culture with many Chinese/Japanese pop icons & models undergoing surgery or using eyelid glue/taping to achieve a skin crease.

Asian blepharoplasty, also known as double eyelid surgery, is the most commonly requested cosmetic surgery by oriental patients worldwide. The term blepharoplasty just means 'eyelid refashioning'. The term 'Asian Blepharoplasty' arose from the US, but probably a more accurate term would be Oriental blepharoplasty.

This type of cosmetic eyelid surgery is performed on many types of patients of both oriental and mixed oriental descent and is now the most commonly performed cosmetic procedure on patients of Oriental descent.

Image

A normal child of Oriental origin. Notice the variation in eyelid shape even within the same patient. She has no skin crease over her right eyelid and a skin crease over her left. Even though her left eye is as open as her right, the presence of the skin crease gives the impression of it being larger.

Mr Cheung sees all variations of Oriental eyelid configuration in his clinics e.g. with or without an eyelid crease, low set or poorly defined creases, hooding, bulky fatty eyelids with a poorly defined eyelid crease,

Most Oriental patients requesting blepharoplasty surgery seek better definition of an eyelid crease or to create a new eyelid crease. This can often lead to differences in how the patient is perceived and how the patient feels in him/herself. Just the presence of an eyelid can give the impression that the patient is more awake, more alert, more expressive with a softer, more attractive eye appearance.

Mr Cheung's female patients often comment on how they can wear make-up properly after Asian/ Oriental blepharoplasty surgery/ double eyelid surgery due to better definition of their eyelid and exposure of the eyelashes that were previously hidden by eyelid skin. Whereas male patients often seek this surgery to help make their eyes more open and less stern.

Double Eyelid Surgery (Asian Blepharoplasty) is NOT Westernisation Surgery
It is very important to recognise that the Oriental eyelid anatomy is very different to the Western occidental eyelid anatomy.

Most Oriental patients do NOT wish to look like their Western/ Occidental colleagues. Indeed, a standard blepharoplasty designed for an Occidental/Western eyelid would look very strange and disharmonious with the rest of the face in a person of Oriental descent.

Instead, most patients of Oriental descent who attend Mr Cheung's clinics request more eyelid crease definition i.e. to create an Oriental looking double eyelid or more upper lid show ( the amount of exposure of the eyelid below the crease above the eyelashes to enhance make up wear) or less bulkiness of the eyelid.

The surgery to create an Oriental looking eyelid crease is therefore very different to a conventional Occidental/Western blepharoplasty. Counselling a patient for an Asian/ Oriental blepharoplasty (double eyelid surgery) during the preoperative visit is probably just as important as the surgery itself, since it is during the preoperative visit that the important decisions about the design of the eyelid crease are made such as where to set the height and shape of the new eyelid crease

Occidental Eyelid again

The Occidental/Western eyelid crease is very different with a semilunar shape with greater exposure of the eyelid itself (eyelid show) due to its higher position.

Western Eyelid anatomy

Caucasian/ Western/ Occidental Eyelid Typical Anatomy

Note how the lower half of the eyelid is thin as it comprises of cartilage (tarsal plate) with skin and muscle (orbicularis oculi) on top.
Note how the levator aponeurosis attaches into the skin and muscle forming the skin crease.

Oriental eyelid anatomy

Oriental/ East Asian Eyelid Anatomy without Skin Crease

Note how the Oriental eyelid is often bulkier due to the orbital fat coming forward more and being lower down on the eyelid than its Caucasian counterpart.

Note also how the levator aponeurosis does not attach into the skin and muscle - hence there is no skin crease.

The ultimate aim of an Double Eyelid Surgery/ Asian Blepharoplasty is to create a skin crease to enhance the appearance of the eye whilst preserving the features of Oriental ethnicity for the patient. It is therefore very important that when seeing a patient for the first time for their eyelid surgery, that time and meticulous attention is spent to ensure that both patient and surgeon are clear about what the desired eyelid configuration since there are so many variations of Oriental eyelid creases with varying skin crease lengths, shape (tapered, flared, parallel) and amounts of upper eyelid show.

Surgical techniques for Double Eyelid Surgery

There are two basic methods for creating an eyelid crease:

  • default_titlea closed thread/suture technique (where simple stitches are used to create a crease in the eyelid by creating a depression in the skin via attaching the skin to some of the deeper structures within the eyelid) or
  • default_titlean open, incision technique (where the skin is cut and new skin crease is made by directly attaching the cut edges of skin to the deeper structures).
  • Show More

Worldwide, the closed thread is the more population operation largely because of its simplicity and the minimal training required to perform the procedure. Indeed in some parts of world the operation isn't even performed by surgeons at all e.g by beauticians. The recovery time is marginally quicker due to the operation being less invasive. The closed thread/suture technique is more suitable for patients eyelids with minimal fat in their pretarsal/ pretarsal eyelid i.e. with a higher orbital septum. This operation works by plicating a fold into the eyelid and is largely dependent on the sutures within the eyelid staying intact. Hence the fold may disappear if the internal sutures break.

Although, Mr Cheung can offer both techniques, Mr Cheung prefers the latter open incision technique since it allows for excellent intricate design and construction of a natural looking eyelid crease, is much more likely to be permanent due to the creation of stronger attachments to the deeper eyelid structures. It also allows for additional procedures to be carried out at the same time if required e.g. medial epicanthoplasty, fat debulking, muscle debulking, ptosis correction, orbital septum repositioning, etc.

The operation is usually done as a day case procedure under local anaesthetic injections and is very well tolerated. Each operation usually takes about an hour to do both upper eyelids. Recovery time is usually very quick with minimal bruising/swelling that rapidly reduces over a few weeks. In most patients, 80% of the maximal postoperative swelling typically dissipates within 2 weeks.

Example Cases of Double Eyelid Surgery / Asian Blepharoplasty

There are several types of patients who request Asian/ Oriental blepharoplasty/ Double Eyelid Surgery:

  • default_titlePatients who don't have a well defined skin crease but seek one (see example case 1)
  • default_titlePatients who do have a skin crease but seek increased exposure of the eyelid itself (also known as upper eyelid show) so that they can wear eyeshadow and mascara better (see example cases 2 & 3)
  • default_titlePatients seeking 'tidier eyelids’ - Often these patients have multiple skin creases and folds. They complain that applied eyeshadow looks messy. Multiple creases can occur naturally anyway but can also result from prolonged contact lens wear (see example case 4)
  • default_titlePatients seeking symmetry of their eyelids: Occasionally patients have significantly differing eyelids and want one eyelid to look like their other eyelid (see example case 5)

  • default_title
    • Roughly 15% of Mr Cheung's patients undergoing double eyelid surgery are men: In men the aims of surgery are slightly different to women. They often want eyes that look more open but still distinctly masculine.
  • Show More

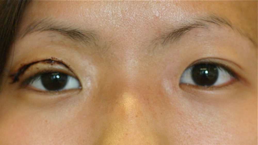
Case 1: 23 year old female- Incisional Asian Blepharoplasty. This lady did not have an eyelid crease at all and sought one

  • Image

    Before incisional Asian Blepharoplasty. This lady was born without a skin crease and sought one.

  • Image

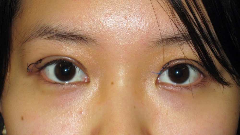
    1 week following double eyelid surgery. The eyelids always looks quite swollen.

  • Image

    1 week following double eyelid surgery. The eyelids always looks quite swollen.

  • Image

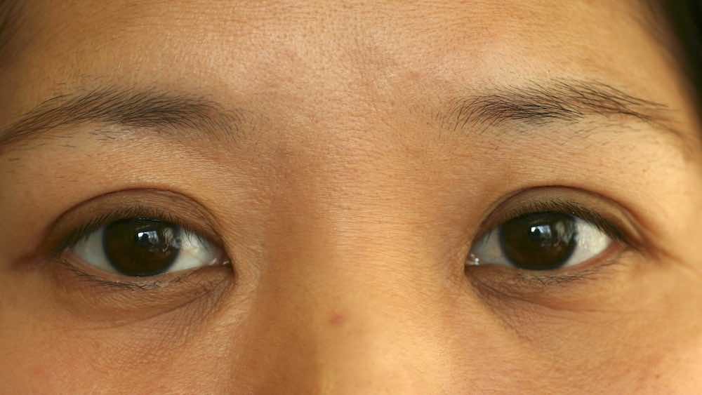
    3 months after surgery. The patient was very very happy. The swelling will continue to slowly disappear resulting in a conservative result.

  • Image

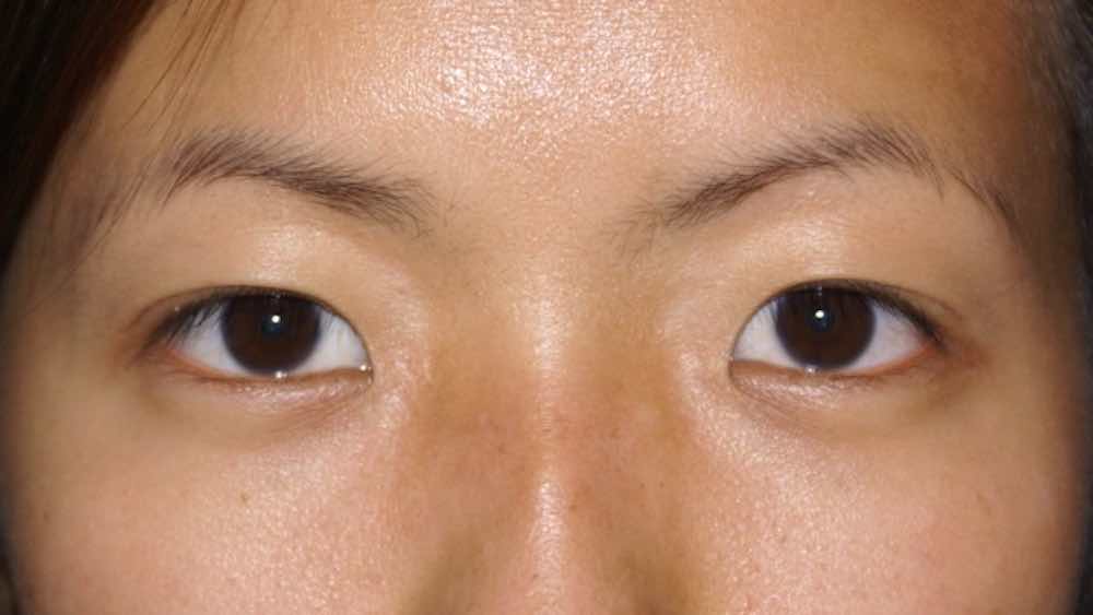
    Before surgery again

  • Image

    After surgery again


Case 2: 35 year old female- Incisional Asian Blepharoplasty with medial single anchor point epicanthoplasty. Although this lady had an eyelid crease, she requested improved exposure of the eyelid and eyelashes, thus improving the effect of eyeshadow and mascara, whilst still retaining a typically oriental appearance to the eyelid. (Click image to see gallery)

  • Image

    Although this lady had a skin crease, she wanted more eyelid exposure.

  • Image

    Although this lady had a skin crease, she wanted more eyelid exposure.

  • Image

    1 week following surgery. The eyelids are always very swollen. Her surgery consisted of giving an incisional Asian blepharoplasty to give her a new higher surgically created skin crease with skin excision to reduce the length of the lid fold with a single anchor point medial epicanthoplasty under local anaesthetic

  • Image

    3 months following surgery. The patient was very very pleased

  • Image

    3 months following surgery. The patient was very very pleased

  • Image

    3 months following surgery. The patient was very very pleased

  • Image

    Before Oriental Blepharoplasty surgery again

  • Double Eyelid Surgery

    After Oriental Eyelid Surgery again. Although her eyelids are not any more open, the presence of a higher upper lid fold gives the impression of bigger eyes, with a greater platform for wearing eye makeup.


Case 3: 22 year old lady - Incisional double eyelid surgery with single anchor point medial epicanthoplasty. This lady was born with quite low skin creases. She requested increased eyelid show to allow her to wear eye shadow and mascara but still wished to look very much Oriental in origin. (Click image to start gallery)

  • Image

    Incisional double eyelid surgery

  • Image

    Although this lady was born with skin crease, she requested great exposure of the eyelid.

  • Image

    Although this lady was born with skin crease, she requested great exposure of the eyelid.

  • Image

    1 week following incisional double eyelid surgery with single anchor point medial epicanthoplasty. This consisted of giving her a slightly higher new surgically created skin crease, skin fold excision and medial epicanthoplasty to soften up the epicanthic fold.

  • Image

    1 week following incisional double eyelid surgery with single anchor point medial epicanthoplasty. This consisted of giving her a slightly higher new surgically created skin crease, skin fold excision and medial epicanthoplasty to soften up the epicanthic fold.

  • Image

    1 week following incisional double eyelid surgery with single anchor point medial epicanthoplasty. This consisted of giving her a slightly higher new surgically created skin crease, skin fold excision and medial epicanthoplasty to soften up the epicanthic fold.

  • Image

    1 week following incisional double eyelid surgery with single anchor point medial epicanthoplasty. This consisted of giving her a slightly higher new surgically created skin crease, skin fold excision and medial epicanthoplasty to soften up the epicanthic fold.

  • Image

    2 months following surgery

  • Asian Bleppharoplasty UK

    The patient was very very happy.

  • Double Eyelid surgery UK

    Although the surgery has changed her appearance, she still looks distinctly Oriental with a nasally tapering skin crease still blending into a softer epicanthic fold

  • Image


    Before surgery again

  • Image


    After surgery again


Case 4: 28 year old female - incisional double eyelid surgery. This lady wanted improved eyelid crease definition. She complained that her eyelids looked untidy with multiple skin creases and multiple folds. (Click image to start gallery)

  • Image


    Before incisional double eyelid surgery. She complained of messy looking eyelids

  • Image

    Note the poorly defined multiple creases

  • Image

    Her eye shadow would often look blotchy.

  • Image

    1 week following double eyelid surgery.

  • Image

    1 week following double eyelid surgery.

  • Image

    3 weeks following surgery.

  • Image

    3 weeks following surgery. The patient was very happy. Her eyelids look much neater

  • Image

    3 weeks following surgery. The patient was very happy. Her eyelids look much neater

  • Image

    Before surgery again

  • Image

    After surgery again


Case 5: 28 year old female - incisional double eyelid surgery to right upper eyelid only. This lady was born with a skin crease in her left upper eyelid but no crease on her right. She complained that her right eye looked smaller and she preferred the appearance on the left. Double eyelid surgery was therefore performed on her right upper eyelid to make it match the left.

  • Image

    Before surgery: Double eyelid surgery to one eyelid only. The eyelid on the right (her right) does not have a skin crease, allowing the skin to hang over the eyelid margin. She complained that people thought that she had a ptosis or looked lop-sided.

  • Image

    Before surgery: the eyelid on the right (her right) does not have a skin crease, allowing the skin to hang over the eyelid margin

  • Image

    Before surgery: All she requested is for her right upper lid to look like her left

  • Image

    1 week following double eyelid surgery to the right (her right) upper eyelid

  • Image

    3 months following surgery. The eyelids show perfect symmetry

  • Image

    3 months following surgery: The patient was very very happy

  • Image

    Before surgery again

  • Image

    After surgery again


Case 6: 24 year old male- Probably about 15% of patients attending for double eyelid surgery with Mr Cheung are male.

  • Image

    Before surgery: This young gentleman complained that his eyes looked small, hooded and stern. He was born with a skin crease which was quite low with a bulky fatty looking upper eyelid fold.

  • Image

    1 week after double eyelid surgery to both eyes to create a new higher nasally tapered skin crease. The crease in a man is usually set slightly lower than in women.

  • Image

    6 weeks following double eyelid surgery to both upper lids: This young man was very very pleased. He still looks of Oriental origin but felt his field of view was now larger and brighter. His friends and family commented that he looked less stern.


Costs for Double Eyelid Surgery / Asian Blepharoplasty

  • default_titleThe cost of double eyelid surgery varies from patient to patient but most patients usually prefer for the surgery to be done as a day case under local anaesthesia. This means that the patient is awake during the operation but does not feel anything due to the numbing injections administered at the start of the operation. Most patients are very happy with this option since they can go home a couple of hours after the operation or stay one night in a local hotel.
  • default_titleThis method is not only the most convenient but also the least expensive. This will include the cost of all medications, photographs, 3 postoperative appointments and suture removal
  • default_titleCosts may vary slightly depending on complexity of surgery e.g. need for epicanthoplasty correction, muscle debulking, fat debulking/ sculpting, ptosis correction as these additional procedures increase operating time
  • default_titleThough not usually necessary, if one does prefer to stay overnight in the hospital then this can be arranged. Most patients from outside Birmingham will either commute in on the day or stay locally the night before.
  • default_titleIf one wishes to be asleep during the operation, an additional charge of £450 is necessary for the services of an anaesthetist to administer general anaesthesia or sedation. However, most patients find the surgery very acceptable using numbing injections only.
  • default_titlePlease note Mr Cheung does offer revisional and redo Oriental Blepharoplasty surgery for patients who've had this surgery elsewhere at additional cost.
  • default_titleCost of Self Funded Cosmetic Eyelid Surgery with Mr Cheung Click here for Pricing Information
  • Show More

Frequently asked questions for patients undergoing Double Eyelid Surgery / Asian blepharoplasty

  • How much of the eyelid do you want to see? This is a very personal decision for every patient. There is no right or wrong answer. Please bear in mind that this surgery is designed to be permanent and hence irreversible. We as oculoplastic surgeons measure the exposure of the eyelid by measuring its upper lid show (ULS- distance between the eyelid and the eyelid fold).
    Probably 85% of patients request a 'medium' degree of upper lid show (ULS) of about 4-5mm as they still wish to look Oriental in origin, natural looking but have enough exposure of the upper eyelid to wear eyeliner and mascara. Cases 2 & 3 above would fit into this 'medium' category.
    Patient choice is often influenced on fashion. In the early 2000s, patients of Mr Cheung would often want larger amounts of upper lid show but from 2017 onwards (perhaps due to popularity of K-Pop) there has been a trend increasingly more natural and lower amounts of upper lid show. Mr Cheung would therefore recommend that patients think long and hard about what they want to achieve.
    Please feel free to bring photos of how you would want your eyelids to look to your consultation as this will help the consultation process.
  • Show More
Before Before Double Eyelid Surgery
After After Double Eyelid surgery
  • Can I continue to wear contact lenses?Long term, patients can wear contact lenses but for the first 6 weeks following surgery, Mr Cheung would recommend patients abstain from contact lens wear
  • What is the recovery time following surgery?You should be aware that although most patients go back to work after 2 weeks, your eyelids may continue to be minimally swollen especially in the morning for 2-3 months typically.
  • What are the risks of double eyelid surgery/ Oriental Blepharoplasty?As with any operation, there is a risk of complications. The potential complications with double eyelid surgery/ Oriental blepharoplasty are similar to those of standard blepharoplasty. However the most common complication is that of asymmetry. This surgery is incredibly specialised where meticulous technique and attention to detail is vital to minimise this risk.
  • Skin crease height, configuration, eyelid margin height and upper lid show? This all sounds very complicated!Not to worry! Yes all these terms can quite confusing but Mr Cheung will guide you through everything during your consultation and explain everything with diagrams etc so that you can make an informed choice.
  • Show More

Image
I chose David to be my consultant for oriental blepharoplasty and ptosis surgery. My initial consultation was thorough, we took precise measurements and discussed in detail what I wanted to achieve. The procedure and risks were all explained to me extensively and I left feeling confident about the surgery and that David understood my requests. On the day of the surgery, I was extremely nervous but David reassured me. The procedure was over quickly and there was minimal pain during and no pain post-surgery at all (no painkillers needed to be taken). During recovery stage, I became more and more anxious about the speed at which I was healing, but David responded to all my emails quickly and reassured me that I was progressing at normal pace. In terms of after-care appointments, David even fitted an extra appointment for me early in the morning on a weekend. Overall, David achieved the exact results I wanted, with no deviation at all from what we discussed at consultation stage. He is highly skilled in his field and I am so happy now that I chose him to be my surgeon. I would have no doubts in recommending him to anyone who wants to undergo cosmetic eye surgery. Thank you David!
Miss RL (Kent) : Review from Google Reviews 2019 : Bilateral Upper Eyelid Incisional Oriental Blepharoplasty with simultaneous ptosis correction under local anaesthetic at the Westbourne Centre

Image
After extensive research on the internet (the good, the bad and the ugly) and contemplating the procedure for some years, I recently underwent Asian blepharoplasty with Mr David Cheung. I was fed-up with my eyes becoming hooded over time and looking tired or grumpy when my face was at rest..The initial consultation lasted an hour, was comprehensive and Mr Cheung took the time to fully explain the procedure, risks, recovery period and the outcome I was to expect. He was factual, non-judgemental, answered all my questions. We viewed examples of previous cases, so I could visualise the outcome I was most likely to achieve. I left feeling confident that I had found the right person to trust my eyes and this procedure to. The procedure itself was surprisingly painless and not as bad as I expected. I was extremely nervous on the day, but the atmosphere in the theatre was relaxed, friendly and the nurse held my hand throughout. I had local anaesthetic and had worked myself into a frenzy before the operation on how painful the injections were going to be. I worried needlessly. Other than what felt like a minor pinprick at the inner corners of my eyes, the rest of the injections were pain free. Having your eyebrows waxed is worse. The procedure took about an hour, during which Mr Cheung and the medical team made light conversation and the time went quickly. After a short time in the recovery area, I was able to go home, armed with after-care instructions and medication including antibiotics and eye drops.I am not quite two weeks into the recovery process and my eyes are still quite swollen. However, having recently attended my one week follow up and stitch removal, Mr Cheung reassured me that I am making good progress and I am feeling confident that once I am out of the recovery period, I will have a nice result and the outcome I am hoping for. I just have to be patient with my recovery. Knowing what to expect and having everything explained to me has helped enormously in understanding what stage of my recovery I am at. If you require a procedure related to the eyes, I cannot think of anyone else I would recommend as highly as Mr Cheung. As a surgeon he is highly experienced, meticulous, precise and in the area of cosmetic surgery cares about scientific precision with artistry for a visually pleasing outcome. As a human he is kind, understanding in the care of his patients and the level of communication throughout the process is second to none. Any question or worry, however big or small is dealt with quickly. Throughout this process I have emailed Mr Cheung on practicalities, seeking reassurance and no manner of questions related to the surgery and after care. He has always been extremely quick to respond, patient and factual in all his replies. Reassurance is really important through this process and I cannot be more grateful for the fast communication throughout. Thank you David, this has been a good experience for me and I am looking forward to seeing the final results.
Mrs MM. Review from Trustpilot May 2024 : Bilateral Upper Eyelid Incisional Oriental Blepharoplasty under local anaesthetic at the Westbourne Centre